Перелом остистого отростка
Травмы позвоночника всегда влекут за собой ограничение двигательной активности и сопровождаются интенсивными болезненными ощущениями.
Перелом остистого отростка позвоночника поясничного отдела сопровождается деструктивными нарушениями костных тканей. Отростки данного отдела позвоночного столба часто подвергается патологиям подобного рода вследствие большой подвижности этой зоны и значительной нагрузки на нее.
Повреждения бывают единичные и множественные, локализованные и со смещением. Изолированные повреждения отростков – редкое явление. Более характерным проявлением становится травмирование нескольких костных структур позвоночника.
Причины
Нарушение целостности отростков в большинстве случаев возникает в результате механического воздействия:
- Сильного удара (прямая травма).
- Резкого сгибания и разгибания поясницы (косвенное повреждение).
- Непосильных физических нагрузок на область поясницы, провоцирующих значительное напряжение мышц. Это подъем и перенос тяжестей, силовые виды спорта.
Излом в большинстве случаев обнаруживается в середине остистого отростка, а его части имеют тенденцию смещаться вниз или выпячивать наружу.
Клинические проявления
Среди наиболее выразительных симптомов нарушения целостности остистых отростков наблюдаются:
- ограничение движений;
- интенсивная боль в области поясницы;
- усиление болезненных ощущений при попытке согнуться или разогнуться;
- развитие отека в поврежденном участке;
- значительное повышение мышечного тонуса;
- острая боль при пальпации пораженной зоны;
- вероятность подвижности отростков, являющаяся следствием патологических изменений – сдвига их в правую или левую сторону от позвоночника, а также возможность нарушения промежутка между ними.
Попытки пострадавшего выполнить любое движение с преодолением боли чреваты возникновением серьезных осложнений. Такое поведение способно спровоцировать травму спинного мозга, что становится предпосылкой к полной обездвиженности пациента, часто оказывающуюся пожизненной.
Избежать таких последствий удается своевременное обращение в медицинское учреждение. Пациенту на время транспортировки необходимо обеспечить неподвижность положения тела.
Терапевтические меры
Лечение перелома остистого отростка позвоночника в поясничном отделе предполагает изначальное уточнение локализации повреждения.
С этой целью проводится внешний осмотр пострадавшего, пальпация поврежденного участка и рентген.
Среди основных методов воздействия:
- Проведение местной анестезии – введение пациенту 10 мл. пятипроцентного раствора новокаина.
- Исключение движений – пострадавшему не рекомендуется вставать с постели в течение 25-30 дней.
- Использование фиксирующего корсета или лечебного бандажа.
- По мере облегчения состояния и устранения болевых ощущений рекомендуется проведение массажа и лечебной физкультуры под руководством квалифицированных специалистов.
- В комплексную терапию включаются такие физиопроцедуры, как рефлексотерапия, бальнеотерапия.
- Обязательный компонент лечебного курса – использование витаминных комплексов.
- Введение в рацион большого количества продуктов, способствующих укреплению костной системы (рыбы, молочных продуктов, мяса, яиц).
Следование во время восстановительного периода рекомендациям врача способствует восстановлению нарушенных зон.
Хирургическое лечение
Отсутствие положительной динамики в преодолении патологического состояния и устранении болезненности в области поясничного отдела позвоночника становится показанием к хирургической операции. Она проводится с целью извлечения костных отломков, провоцирующих негативные проявления.
Общее описание травмы
Переломы позвоночника встречаются сравнительно нечасто. Статистически относительно всех переломов костного аппарата на переломы позвоночного столба ложится 0,5% случаев.
Виды переломов позвонков
Переломы позвоночника бывают разными, и одним из самых частых является перелом поперечного отростка позвонка. В большинстве случаев данная патология локализуется в поясничном отделе позвоночника, так как он чаще всего подвержен травмам и перегрузкам.
Но что это такое, если рассматривать заболевание подробнее? Перелом поперечного отростка позвонка возникает при прямом травмировании позвоночника. В редких случаях повреждение возникает на фоне резкого сокращения мышц (например, при столбняке).
Основные причины перелома поперечного отростка
Причин перелома поперечного отростка позвонка достаточно много, однако можно выделить группу тех факторов, которые приводят к этому примерно в 90-95% всех случаев.
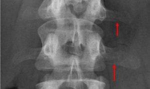
Перелом поперечного отростка позвонка на рентгене
Основные причины перелома поперечного отростка позвонка:
- Тонические судороги (например, во время приступов при столбняке или иных заболеваниях, повреждающих ЦНС), чрезмерные нагрузки на квадратные мышцы поясничного отдела позвоночника.
- Резкое опускание (именно опускание, а не подъем) очень тяжелых предметов.
- Падение с большой высоты (особенно если при падении пострадавший упал именно на спину, хотя перелом возможен и при падении на живот – «пластом»).
- Тупые травмы позвоночного столба – удары (например, при занятии единоборствами), удары по спине тяжелыми предметами, удар позвоночника о спинку кресла при ДТП.
- Любые ситуации, при которых происходит резкое отклонение тела с перегрузкой квадратных мышц поясничного отдела спины (крайне сложно избежать этой ситуации – тело обычно отклоняется рефлекторно).
Симптомы
Данный вид перелома протекает достаточно тяжело и практически никогда не остается незамеченным. В целом по симптомам сложно сразу понять, что получена именно такая травма, но имеется несколько характерных именно для нее признаков.
Визуализация трещины на фоне перелома позвонка
Симптомы перелома поперечного отростка позвонка:
- выраженный болевой синдром, который в некоторых случаях недостаточно купируется даже при применении мощных болеутоляющих средств (например, Кетанов);
- ограничение подвижности спины, при попытках пошевелить спиной или прикоснуться к ней болевой синдром может существенно усиливаться;
- симптом Пайра — при попытке наклониться противоположную травме сторону возникает мучительная боль, иногда приводящая к потере сознания;
- усиление болевого синдрома при попытках поднять ногу на пораженной стороне спины будучи в лежачем положении (синдром прилипшей пятки);
- уже через 1-2 часа после получения травмы обычно развивается лихорадка, вплоть до 39 градусов по Цельсию (ко второму дню она обычно проходит, даже при минимальной терапии).
Диагностика
Существует достаточно большое количество видов переломов позвоночника, поэтому для подтверждения перелома конкретно поперечного отростка позвонка проводится диагностика, в том числе визуализирующая.
Первым делом врачом проводится поверхностный осмотр больного. Иногда проводится пальпация для определения конкретной локализации повреждения. Врач может провести несколько тестов для выявления специфических симптомов – симптома Пайра и синдрома прилипшей пятки.
Корсет применяется в лечении перелома позвонка
В условиях стационара в обязательном порядке проводят визуализирующую диагностику. Минимум – рентген в двух проекциях. В идеале должна проводиться либо компьютерная, либо магнитно-резонансная томография.
Рентгенография применяется редко, так как может дать неточные результаты, особенно если во время диагностики у пациента имеется избыток кишечных газов (они дают ложные «тени» на снимке).
Насколько это опасно?
Перелом поперечного отростка позвонка это достаточно серьезная патология, но при адекватном и своевременном лечении ее удается устранить без каких-либо серьезных осложнений. Однако осложнения могут быть даже на фоне адекватной терапии, но это большая редкость.
Неправильно леченный или не леченный вовсе перелом чреват развитием тяжелого неврологического дефицита, неправильного сращения мышечных и костных структур позвоночника, пожизненными проблемами со спиной.
Перелом поперечного отростка позвонков поясницы на КТ
Например, на всю жизнь пациент может быть ограничен в движениях в поясничной области спины. Кроме того, при неадекватном лечении возможны столь серьезные деформации позвоночного столба, что это может привести к инвалидности.
Реабилитационные меры
После полного сращения отростков с телом позвонка начинается реабилитация.

- повреждение без нарушения нервной деятельности;
- травма с легкими или средними нарушениями нервной деятельности.
В процессе выздоровления все действия врачей направлены на восстановление подвижности позвоночного столба после вынужденного периода полной неподвижности. Так же компенсируются последствия сдавления нервных окончаний.
Реабилитация включает в себя следующие мероприятия:
- массаж;
- лечебную физкультуру;
- физиотерапевтические процедуры;
- ношение специального корсета.
Комплекс необходимых мер подбирается индивидуально в зависимости от тяжести перелома.
ЛФК
Лечебная физкультура направлена на разработку мышц спины. Комплексы упражнений включают в себя наклоны, растяжку и умеренную силовую подготовку. ЛФК разрабатывает мышечный корсет для поддержания позвоночного столба.
Физиопроцедуры
Физиотерапия назначается для улучшения кровотока, стимуляции нервных окончаний, а также позволяет устранить остаточные боли.
Используется воздействие электрическими токами, теплом и электромагнитным излучением.
Массаж
Массаж при травмах позвоночных отростков выполняется вручную. Это позволяет убрать отек и компенсировать длительную неподвижность мышц спины. Выполняется массаж в условиях стационара процедурной медсестрой; 1 курс — от 10 процедур.
Корсет
При травмах позвонков назначается ношение корсета, чтобы перераспределить нагрузку и избежать деформации позвоночного столба. Надевать корсет нужно на 6 и больше часов в день, во время ходьбы и при сидячей работе.
Как лечится перелом поперечного отростка позвоночника
Данное повреждение в основном лечится консервативно и не требует госпитализации. Главная рекомендация травматолога, которая должна неукоснительно соблюдаться, это постельный режим. В зависимости от состояния и тяжести перелома, возраста пациента и других индивидуальных особенностей состояния здоровья пациента постельный режим может длиться от 3 до 5 недель. Самой оптимальной для скорейшего выздоровления является поза «лягушки». Для этого надо лежать на спине, ноги должны быть согнуты в коленях, под ними необходимо расположить удобный для спины высокий валик.
В некоторых случаях травматолог может зафиксировать поясничную область тугой повязкой или корсетом из гипса. Такое лечение не требует постельного режима и предполагает осторожную физическую активность человека.

В редких случаях, когда осколок значительно повреждает нервное окончание и вызывает нестерпимую боль, препятствующую нормальной жизнедеятельности, может понадобиться хирургическое вмешательство с возможным удалением оторванной кости.
Диагностика
Для того чтобы выявить нарушения структуры кости, нужно собрать анамнез заболевания, жалобы, провести осмотр и отправить на дополнительные методы обследования. Для подтверждения нарушений структуры позвонков проводится рентгеновский снимок. На нем можно заметить линию разлома кости, наличие смещения мелких осколков. Также возможно проведение компьютерной томографии, МРТ.
Окципитоспондилодез
Данную операцию проводят при нестабильности двух верхних шейных позвонков после переломов и вывихов. Суть операции заключается в том, что шейные позвонки фиксируют к затылочной кости. Благодаря этому достигается стабильность атлантоосевого и атлантозатылочного суставов.
Окципитоспондилофиксация, как правило, проводится после нарушения структуры нижних шейных позвонков. Здесь также возникает нестабильность позвонков. Суть операции в том, что позвонки скрепляют между собой по остистым отросткам лавсановой нитью. Результатом операции является восстановление подвижности нижнего шейного отдела.
Первая помощь пострадавшему
Главное при оказании первой помощи — не усугубить состояние больного. Следует помнить, что нельзя самостоятельно трогать место перелома или пытаться вправить смещенные отростки. Пострадавшему нельзя самостоятельно передвигаться или вставать на ноги.
Если возникли симптомы повреждения позвоночника, то следует выполнить следующие действия:
- Уложить пострадавшего на спину на жесткий щит, полностью зафиксировав позвоночник.
- Успокоить пострадавшего. Для снятия боли дать предельную дозу анальгетика.
- Вызвать скорую помощь для транспортировки пострадавшего в больницу.
- При травме шеи можно соорудить картонный воротник для ограничения подвижности.
Если под рукой нет твердого щита для переноски пострадавшего, то человека фиксируют на мягких носилках на животе. При переломе в шейном отделе необходимо следить за дыханием пострадавшего, поэтому на животе в этом случае ему лежать нельзя.
Перелом поперечного отростка позвоночника
Переломы поперечных отростков поясничных позвонков, чаще всего, появляются при травмах. Обычно поражаются верхние 3-4 позвонка поясницы. Третий позвонок поясницы имеет удлиненные поперечные отростки, поэтому он подвержен травмам больше других. Перелом отростков позвоночника может быть следующих разновидностей:
- одиночные,
- переломы 2-х и более позвонков,
- переломы со смещением и без смещения,
- оскольчатые.
Симптомы
Клинические проявления перелома поперечного отростка позвонков следующие:
- при нарушении структуры кости манифестирует резкая выраженная боль в области поясницы,
- боль связана с движением. При сгибании в противоположную от локализации травмы сторону боль усиливается. Это явление носит название симптома Пайра.
- невозможность привести в движение нижнюю конечность на пораженной стороне – симптом прилипшей пятки,
- возникновение невыносимой боли при неактивных движениях в тазобедренном суставе на пораженной стороне,
- напряжение мышц поясничного отдела,
- при повреждении нервов появляется нарушение чувствительности, мочеиспускания.
Причины
Причины перелома поперечных отростков поясничных позвонков могут быть следующими:
- прямое силовое воздействие в район поясничного отдела позвоночника,
- падение с крыш, многоэтажек, высоты собственного тела,
- тяжелая физическая работа,
- патологические.
Переломы отростков поясничных позвонков возникают при прямых силовых воздействиях. Такие силовые воздействия можно получить при занятиях каратэ, боевым самбо, кикбоксингом, спортивной гимнастикой, при дорожно-транспортных происшествиях. При ДТП нарушения структуры костей получаются в результате столкновения поясницы о спинку сидения.
При падениях с высоты нарушения структуры кости могут быть как компрессионными, так и декомпрессионными. При компрессионных переломах отростков позвонков образуются осколки, которые осложняют дальнейшее лечение и восстановление, так как ими повреждаются близлежащие нервы и сосуды. Компрессионные переломы отростков позвонков в большинстве случаев бывают со смещениями. Декомпрессионные переломы при падениях с крыш, многоэтажек похожи на нарушения структуры кости от силовых воздействий, но они, в основном, поражают несколько позвонков.
Лечение
Переломы отростков поясничных позвонков требуют, в основном, нехирургическое лечение. Если нарушение структуры кости одиночное, то вначале место перелома обертывается ватно-марлевой повязкой. Через некоторое время больному надевается корсет, ему разрешается определенный объем движений. Как правило, в течение 30 дней происходит излечение.
При нарушениях структуры нескольких позвонков назначается строгий постельный режим. Больной находится в лежачем положении в позе «лягушки». Ноги согнуты в тазобедренном и коленном суставах, под коленный сустав подкладывается мягкая ткань. Благодаря этой позе обеспечивается минимальная нагрузка на поврежденные позвонки. Через месяц больному накладывается гипс в виде корсета от нижнего края тазовых костей до сосков. При этом ему разрешается передвигаться по палате.
Способы лечения
Есть несколько способов как лечить перелом отростков позвоночника: медикаментозная терапия, народные средства и хирургическое вмешательство.
Лечение перелома отростка позвонка лучше доверить компетентным врачам. Но грамотно оказанная первая медицинская помощь способна сильно повлиять на исход всей лечебной терапии.
Если вы стали свидетелем подобной травмы, первым делом следует обеспечить отсутствие движений. Затем, так как это все сопровождается сильной болью, прибегнуть к обезболивающим препаратам и зафиксировать спину. Шейный отдел тоже должен быть обездвижен, любой поворот головы приводит к боли.
Медикаментозная терапия
Лечение при переломах остистых отростков позвоночника включает в себя комплексную медицинскую терапию. Для более правильного назначения лечения необходимо сдать анализы, результат которых выявит возможный воспалительный процесс. После, назначаются подходящие средства: противовоспалительные или согревающие.
Вместе с этим понадобятся различные обезболивающие препараты. Иногда применяют метаболики. Курс реабилитации включает в себя специальную физкультуру, ношение бандажа и массаж.
Народные средства
В качестве дополнительной терапии используют и народные средства. Самым распространенным является мумиё. Его использовали ещё наши прабабушки при вывихах и переломах, считалось, что мумиё сокращает срок лечения. Из него можно сделать мазь, смешав мумие с розовым маслом.
Натуральным обезболивающим эффектом обладает сырой картофель. А из настоя герани получаются отличные ванночки и компрессы. Для отвара 2 ложки растения заливают литром кипятка и настаивают в течение пяти минут. Возможно, это не панацея, но в качестве дополнения к основной терапии, народная будет не лишней.
Операция
При переломе поперечного отростка позвоночника, или когда происходит перелом остистого отростка позвоночника, поражается спинной мозг. Такой исход сулит самые недоброжелательные последствия: инвалидность и даже смерть. В этом случае врач может решиться на операцию.
Симптоматика
Когда случается травма позвонка, а именно позвоночных отростков, то можно отметить следующую клиническую картину:
- Возникает сильный болевой приступ в области поясницы. Он становится сильнее, если человек хочет наклониться. Если травма возникла слева, то боль будет усиливаться при попытках наклона в правую сторону и наоборот.
- Боль принимает более выраженный характер, когда человек лежит и хочет приподнять ногу по той стороне, на которой возник перелом.
- Болезненные ощущения становятся сильнее, если потерпевший хочет согнуть конечность в области тазобедренного сустава.
- При повреждении нервов резко снижается или поднимается артериальное давление, а также нарушается мочеиспускание.
- На пояснице появляется кровоподтек, отекают мягкие ткани спины.
- В мышечных тканях поясничной области ощущается напряжение. Если мышцы сильно напрягаются, могут даже смещаться межпозвоночные диски.
Если не начать лечение вовремя, то гематома и отечность могут привести к рубцеванию тканей, что впоследствии приводит к хронической болезненности травмированной области.
Дополнительные статьи
Оказание первой помощи
После того как человек получил повреждение, его нужно полностью обездвижить. Лучше не трогать пострадавшего до приезда врачей скорой помощи, они сами правильно проведут иммобилизацию. Если болевой синдром очень сильный, можно дать человеку пару таблеток обезболивающего препарата, но если это не помогает, не нужно увеличивать дозу. Приехавшие доктора аккуратно кладут пострадавшего на жесткие носилки или каталку
Чтобы сделать это быстро и осторожно, требуется, как минимум, три человека
Несмотря на то, что травма возникла в пояснице, обязательной является фиксация шеи специальным воротником, поскольку повороты головы приводят в движение весь позвоночный столб и становятся причиной смещения отломков
Обязательно нужно сообщить медицинским работникам, какой анальгетик принимал потерпевший, потому что врачи «скорой» будут делать человеку обезболивающий укол и важно исключить передозировку. После оказания первой помощи пострадавшего транспортируют в стационар нейрохирургии
Классификация в зависимости от участия в переломе тазового кольца и вертлужной впадины:
-
Краевой
перелом
– повреждение тазовых костей, не
участвующих в образовании тазового
кольца: переломы остей, седалищных
бугров, копчика, поперечный перелом
крестца ниже крестцово-подвздошного
сочленения, перелом подвздошной кости. -
Перелом
тазового кольца без нарушения его
непрерывности
– прочность тазового кольца снижается,
но опорность сохраняется, т.к. обе
половины таза оказываются связанными
с крестцом как непосредственно, так и
через другую половину: переломы одной
и той же ветви лобковой кости; переломы
седалищных костей; перелом одной из
ветвей лобковой кости с одной стороны
и седалищной кости с другой. -
Повреждения
с нарушением непрерывности тазового
кольца –
каждая половина таза оказывается
связанной с крестцом только с одной
стороны; вертикальный перелом крестца
или перелом боковой массы крестца;
разрыв крестцово-подвздошного сочленения;
вертикальный перелом подвздошной
кости; перелом обеих ветвей лобковой
кости; перелом лобковой и седалищной
костей (типа «бабочки»); разрыв симфиза -
Повреждения
с одновременным нарушением непрерывности
переднего и заднего полуколец типа
Мальгеня –
полностью утрачивается связь половины
таза с крестцом. Поврежденная половина
таза под действием мышц смещается вверх -
Перелом
вертлужной впадины –
перелом края вертлужной впадины,
сопровождающийся передневерхним
вывихом бедра; перелом дна вертлужной
впадины, сопровождающийся центральным
вывихом бедра
















