Универсальные упражнения
ЛФК при деформирующем спондилезе пояснично-крестцового отдела позвоночника подбирается, исходя из тяжести, стадии патологии и степени ограничения подвижности. Однако эффективное лечение может основываться и на универсальных упражнениях, применяемых при любых видах заболеваний позвоночного столба.
На расслабление
Техника выполнения:
- пациент ложится на спину, его ровные руки располагаются вдоль тела.
- Больной глубоко, плавно вдыхает, а после – медленно выдыхает.
- Упражнение нужно делать от 5 до 15 минут.
Вытягивание каждого отдела позвоночника – важная часть ЛФК. Методика позволяет устранить боль, предупредить развитие анкилоза и смещение позвонков.
Предлагаем ознакомиться: Боль в тазобедренном суставе к какому врачу обращаться если болит таз
Упражнения при спондилезе пояснично-крестцового отдела позвоночника, направленные на вытяжение, делают на специальной перекладине либо брусьях. Техника выполнения очень простая – нужно обеими руками схватиться за поперечную палку и повиснуть на ней. А для усиления лечебного эффекта ноги можно подтянуть к животу.
Под собственным весом происходит выравнивание и вытяжение всего позвоночного столба. Но при выполнении упражнения быстро устают руки. Поэтому для начала достаточно повисеть на перекладине всего полминуты.
Она убирает скованность движений, делает связки и суставы более подвижными.
ЛФК при спондилезе следует выполнять после ликвидации болезненных ощущений в период ремиссии. Лучшие упражнения на растяжку нижнего отдела позвоночника:
- Больной ложится на спину, вытягивает руки по длине туловища. Он сгибает ноги в коленях, медленно подтягивая их к груди. Упражнение выполняется несколько раз.
- Пациент становится на четвереньки, располагая ладони шире плеч. Он плавно делает прогиб, во время которого достает грудью и подбородком до пола. В такой позиции больной находится до 8 секунд, а после – возвращается в начальное положение. На каждой тренировке следует повторять это упражнение не менее четырех раз.
На укрепление мышц
Силовые упражнения при спондилезе укрепляют, тонизируют мышцы, что уменьшает нагрузку на суставы и позвоночник. Так как неправильная техника выполнения гимнастики на повышение мышечного тонуса может привести к усугублению болезненной симптоматики и травмам, тренировки необходимо проводить под контролем специалиста.
Лучшие упражнения на развитие мышц спины:
- пациент садится на стул, сгибает ноги в коленях, разводит стопы и опускает руки вниз, обхватив сиденье. Он пытается «вдавить» руки в поверхность табурета, сильно упираясь ногами в пол.
- Больной ложится на спину, приподнимает ноги на 45 градусов. Затем он выполняет упражнение «ножницы» в течение 30 секунд.
- Лежа на спине, пациент поднимает голову кверху на 45 градусов, а другие части тела он плотно прижимает к полу. В таком положении нужно продержаться до 8 секунд.
- Больной становится на четвереньки. Он поднимает правую руку и левую ногу к верху, равномерно распределяя силу тяжести. Затем пациент меняет положение (левая рука – правая нога) и повторяет упражнение.
Примечательно, что независимо от выбранного вида ЛФК, все упражнения должны выполняться плавно. В один комплекс необходимо включать 8-12 упражнений с подходами от 3 до 5 раз.
Что такое МРТ позвоночника
Выбор сорта для посадки
На выбор дизайнерам предлагается огромное разнообразие не только цветов растения, но и уровней, поскольку даже в рамках одного цвета существуют сорта различной высоты. Ниже рассмотрены наиболее популярные сорта рудбекии и приведены их фото.
Рудбекия Хирта
Цветы, имеющие диаметр до 7 см, с темным, почти черным цветов внутренних цветков. Внешние цветки имеют градиентную окраску от красного центра до желтой периферии. Фактически данная рудбекия является многолетником, но используется как однолетник, поскольку наиболее обильное цветение имеет в первый год жизни. Высота – до 1 м.
Черри Бренди
Сорт, обладающей высотой стебля 80-120 см. Отличительная особенность растения – темная окраска листьев и стебля. Облиственность стеблей низкая. Цветок имеет диаметр 7-8 см, его цвет – бордово-красный. Средняя часть соцветия практически черная, выпуклая. По ее периметру располагаются заметные издалека желтые тычинки. Края периферийных лепестков имеют четко выраженные зубчики от 3 до 5 шт.
Рудбекия Тото
Низкорослое растение, по высоте редко превышающее 30 см. При этом диаметр цветков может доходить до 15 см. Идеальный вариант для создания низкоуровневого ковра из цветков на клумбах. Растение отличается постоянным формированием новых бутонов, поэтому даже кратковременных перерывов в цветении и появлении «проплешин» на клумбах не наблюдается.
Обладает двухцветными (желтыми и бардовыми) лепестками и центральной темно-фиолетовой частью цветка. В южных регионах выращивается как многолетнее растение.
Рудбекия блестящая
Высота стеблей растения доходит до 1,5 м. Диаметр цветков – до 10 см. Цветок отличает пышная форма и широкие периферийные лепестки. Густота цветков большая. По мере отцветания старых формируются новые. Многолетний сорт, без проблем переносящий даже холодный климат.
К недостаткам можно отнести разве что поздний период цветения – его начало приходится на конец июля.
Рудбекия пурпурная
Фактически, это не рудбекия, а один из видов эхинацеи. Корневая система растения разветвленная, на ней может располагаться несколько стеблей, кроме того, этот сорт может размножаться делением корневища. Растение высотой до 90 см, имеющее тонкие и относительно длинные периферийные лепестки светло-фиолетового оттенка. Центральная часть цветка унизана множеством коротких красно-желтых тычинок.
Причины
Межпозвоночный диск является прочным и эластичным образованием, которое призвано выполнять амортизирующую и стабилизирующую функцию. Но под влиянием различных факторов он постепенно утрачивает свои характеристики, что влечет за собой образование грыжевого выпячивания. Этому способствует следующее:
- Длительные вынужденные позы.
- Поднятие тяжестей.
- Низкая двигательная активность.
- Избыточная масса тела.
- Искривления позвоночника.
- Перенесенные травмы.
- Эндокринно-обменная патология.
- Возрастные изменения.
Редко можно встретить человека, у которого присутствует лишь один из указанных факторов риска – в большинстве случаев наблюдается их сочетание.
Сколько стоит и где выполняют
Симптоматическая картина
В практическом смысле базисным проявлением пролапса выступает болезненный синдром, состоящий из:
- болевое ощущение с иррадиированием в обе верхние конечности;
- болевое ощущение в тибиальной либо ягодичной области, зависит от места повреждения;
- чувство онемения, покалывания либо пощипывания в верхних и нижних конечностях;
- миослабость при осуществлении двигательных актов руками либо ногами.
В тяжелой степени клинической картине свойственна потеря контроля функционирования мочевого пузыря либо кишечника, ощутимое онемением в генитальной зоне. Локализация описанных признаков имеет прямую зависимость от болезненной зоны. Чем точнее болевая точка, тем легче диагностировать.
Причины выпадения межпозвоночных дисков
Выпадение позвоночных дисков не происходит просто так, на фоне общего благополучия со здоровьем позвоночного столба. Это состояние обусловлено длительным предшествующим периодом дегенерации хрящевой ткани межпозвоночных дисков.
В целом процесс развития остеохондроза и его осложнений в виде выпадения межпозвоночных дисков проходит через несколько этапов:
- первичное нарушение работоспособности мышечного волокна при ведении пассивного образа жизни с преимущественно сидячей работой;
- изменение активности диффузного обмена жидкостями между мышечной тканью и хрящевым волокном межпозвоночного диска;
- обезвоживание фиброзного кольца межпозвоночного диска;
- компенсаторная реакция воспаления, цель которой обеспечить возможность восстановления структуры фиброзного кольца диска за счет усиления микроциркуляции крови в очаге воспаления;
- вторичное нарушение кровоснабжения мышечного каркаса спины на участке, подверженном воспалительной реакции за счет сдавливания капилляров отечностью;
- дальнейшее разрушение структуры хрящевого фиброзного кольца диска и появление на его поверхности микроскопических трещин;
- заполнение трещин отложением солей кальция – возникают боковые остеофиты;
- они раздражают и травмируют окружающие мягкие ткани и запускают повторный воспалительный процесс, в результате которого еще больше усугубляется нарушение диффузного обмена.
На определённом этапе этого патогенетического процесса возникает ситуация, когда высота межпозвоночного диска резко снижается и увеличивается площадь. Это и есть выпадение или пролапс диска, при котором высока вероятность тотального разрыва и появления грыжевого выпячивания пульпозного ядра.
Потенциальные причины запуска и развития данного разрушительного процесса могут включать в себя следующие негативные аспекты:
- ведение малоподвижного образа жизни, при котором на мышечный каркас спины не оказывается достаточной физической нагрузки, что замедляет диффузный обмен между тканями;
- избыточная масса тела и ожирение, увеличивающие потенциальную механическую и компрессионную нагрузку на хрящевые межпозвоночные диски;
- тяжелый физический труд, при котором возникает статическое напряжение мышечного каркаса спины с полной или частичной блокировкой нормальных процессов микроциркуляции лимфатической жидкости и крови;
- гормональные нарушения в подростковом и климактерическом периодах жизни, исключение составляет ситуация, когда женщина делает аборты (возникает пиковая гормональная нагрузка на организм человека, которая в считанные недели уничтожает хрящевые ткани позвоночника);
- нарушение правил вынашивания беременности;
- неправильная осанки и искривление позвоночника;
- неправильная постановка стопы и искривление нижних конечностей по вальгусному или варусному типу.
Помимо этого стоит учитывать вероятность воздействия эндокринных и сосудистых патологий, стрессовых психологических факторов. Научно обоснован факт негативного влияния на хрящевые ткани гормона кортизола. Он в огромных количествах выделяется в кровь человека корой надпочечников в периоды сильного эмоционального потрясения. Кортизол заставляет сосудистую стенку сжиматься, блокируя доступ свежей крови к определёнными структурным частям тела. Происходит перераспределение тока крови с преимущественным кровоснабжением церебральных отделов. Это увеличивает активность головного мозга и человек находит выход из сложной ситуации.
Также не стоит исключать фактор наследственности. Если хотя бы один из родителей страдает от остеохондроза или дегенеративных заболеваний крупных суставов, то с высокой долей вероятности подобные патологии в будущем будут развиваться и у детей.
Протрузии и пролапсы межпозвонковых дисков
В дальнейшем, по мере прогрессирования дегенеративного процесса, соединительнотканное фиброзное кольцо становится менее прочным, возникают его локальные разрывы, что ведет к дальнейшему — прогрессирующему — ослаблению функции. Нарушение целостности фиброзного кольца создает предпосылки для возникновения грыж и протрузий дисков. Клинически грыжеобразование сопровождается выраженным болевым синдромом — вследствие натяжения соединительнотканных волокон фиброзного кольца, а также задней продольной связки. При этом в нормальной, патологически не измененном диске не возникает болевых ощущений даже при сверхинтенсивной нагрузке, а в патологически измененном диске болевые ощущения появляются уже при обычной повседневной физической деятельности.
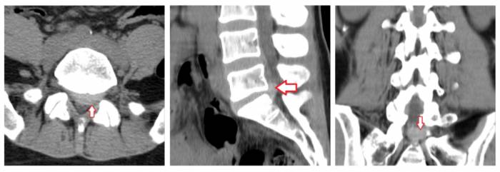
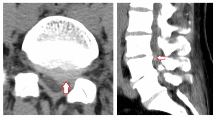
Грыжи межпозвонковых дисков при КТ позвоночникаклассифицируются в зависимости от их локализации. Так, выделяют задние, латеральные и передние грыжи дисков — в зависимости от того, в какую сторону выпадает межпозвонковый диск. Задние грыжи в свою очередь могут быть центральными (диск выбухает кзади по средней линии), медиаолатеральными (диск выбухает в латеральный карман справа либо слева), фораминальными (диск выбухает в межпозвонковый канал). Грыжа диска может быть также внутрикостной (по типу т. н. грыжи Шморля) — при этом происходит пролабированиепульпозного ядра в тело позвонка с проламыванием его замыкательной пластинки.Грыжа Шморля при компьютерной томографии позвоночника выглядит как дефект тела позвонка, отграниченный плотным склерозированным «ободком». Редко встречается также вариант интрадурального пролапса (грыжи), когда секвестр распространяется под твердую оболочку спинного мозга.

Самая частая локализация межпозвонковых протрузий и грыж — поясничный отдел позвоночника. Так, задняя продольная связка натянута в поясничном отделе гораздо слабее по сравнению с грудным (вследствие наличия поясничного лордоза), а давление на межпозвонковые диски (особенно в нижних — L4-L5, L5-S1 — сегментах) больше, чем в грудном и шейном отделах.
Пример парамедианной грыжи межпозвонкового диска в пояснично-крестцовом сегменте позвоночника при компьютерной томографии (грыжа диска отмечена стрелкой). В диске визуализируются также включения газа («вакуум-фемонен»), отмечены красной звездочкой «*».

Пример медиолатеральной грыжи МПД в сегменте L4-L5, распространяющейся в латеральный канал. Грыжа диска при КТ визуализируется в виде гиперденсного объекта (край диска выбухает по дуге малого радиуса) в левую сторону, вызывая сдавление нервного корешка и выраженный болевой синдром.

Лечение межпозвонковой грыжи
В официальной медицине нашей страны традиционно довлеет комплексный подход к терапии подобного рода состояний: медикаметозная поддержка, физиотерапевтические процедуры и лечебная физкультура. Причем последняя, имеет наиболее важную роль, поскольку все заболевания опорно-двигательной системы имеют биомеханическую природу. Однако подавив боль анальгетиками, люди часто пренебрегают основным этапом лечения и срываются в обострение снова и снова… Между тем, регулярная, индивидуально подобранная гимнастика, и периодические вмешательства специалистов из мира мануальной медицины (массаж, остеопатическое лечение), способны существенным образом улучшить качество жизни таких пациентов и избавить их от необходимости постоянного приема лекарственных препаратов.
Сразу хотим сказать, что оперативное вмешательство показано только в нескольких случаях: расстройство функции внутренних органов, явная мышечная слабость и длительно не купирующийся болевой синдром интенсивностью до 7-10 баллов по шкале ВАШ.
Лечение в нашей клинике:
- Бесплатная консультация врача
- Быстрое устранение болевого синдрома;
- Наша цель: полное восстановление и улучшение нарушенных функций;
- Видимые улучшения после 1-2 сеанса; Безопасные безоперационные методы.
- Прием ведут врачи
- Методы лечения
- О клинике
- Услуги и цены
- Отзывы
Выбухание диска часто обнаруживается при проведении МРТ обследования. Подобное заключение врача диагноста ставит пациента в тупик и он начинает искать ответ на свои вопросы в интернете. Этого делать не стоит. Не теряйте зря времени. Ведь выбухание межпозвонковых дисков – это серьезное осложнение длительно протекающего без лечения остеохондроза. Любое неловкое движение или подъем тяжести при подобном состоянии может спровоцировать разрыв фиброзного кольца и образование грыжи. А это уже последняя стадия остеохондроза, лечить которую придется долго и трудно.
Важно понимать, что грыжевые выбухания дисков – это не простая патология, которую можно вылечить с помощью курса инъекций хондропротекторов. В большинстве случаев эти дорогостоящие фармаколочгеиские препараты оказываются совершенно бесполезными
Это связано с тем, что в основе развития остеохондроза и выбухания дисков лежит принцип нарушения диффузного питания фиброзного кольца.
Позвоночный диск – это структура, обеспечивающая амортизацию оказываемой физической нагрузки на позвоночный столб. Он состоит из плотной оболочки – фиброзного кольца, и внутреннего студенистого тела – пульпозного ядра. Последнее удерживает физиологическую форму и высоту диска, распределяет равномерно амортизационную нагрузку.
Межпозвоночный диск лишен собственной кровеносной сети. Частично его питание осуществляется за счет обмена с тканями замыкательной пластинки, которая располагается между телом позвонка и фиброзным кольцом. Но более 70 % жидкости и питательных веществ диск получает в процессе диффузного обмена с окружающими его мышечными тканями. При сокращении миоциты выделяют межклеточную жидкость, которая обогащена кислородом, белками, витаминами и микроэлементами. При сжатии ткани фиброзного кольца выделяют жидкость, насыщенную продуктами распада и окисления, метаболитами и углекислым газом.
Если диффузный обмен нарушается, то в тканях фиброзного кольца накапливаются продукты распада, что запускает преждевременный дегенеративный процесс. Прекращает поступать жидкость, ткани начинают обезвоживаться и утрачивают свою эластичность. В результате этого поверхность межпозвоночного диска покрывается сеточкой мелких трещин, которые заполняются отложениями солей кальция. На этом этапе фиброзное кольцо практически полностью утрачивает возможность усваивать жидкость, выделяемую мышцами. Поэтому делать инъекции хондропротекторов на этом этапе уже бесполезно и бессмысленно. Действующее лекарственное вещество может быть транспортировано к очагу поражения только одним способом – инъекцией в пульпозное ядро межпозвоночного диска. Но эта медицинская манипуляция чрезвычайно опасна и чревата осложнениями, в том числе и полным параличом. Поэтому врачи назначают внутримышечные инъекции.
Прежде чем их делать, позаботьтесь о том, чтобы восстановить эластичность фиброзного кольца и вернуть работоспособность паравертебральным мышцам. Сделать это можно с помощью мануальной терапии, остеопатии, рефлексотерапии и лечебной гимнастики.
Видео: тонкости монтажа дренажной системы ↑
Расчет глубины дренажа – ответственный этап работ. Правильно рассчитав глубину дренажа и угол наклона траншей, вы сведете к минимуму вероятность выхода системы из строя раньше времени.


